
A 70-year-old patient was seen for a routine eye examination after noticing reduced vision in one eye over several months, while the other eye maintained good vision. The patient’s ocular history included prior cataract surgery in both eyes, and the ocular surfaces were healthy and quiet.
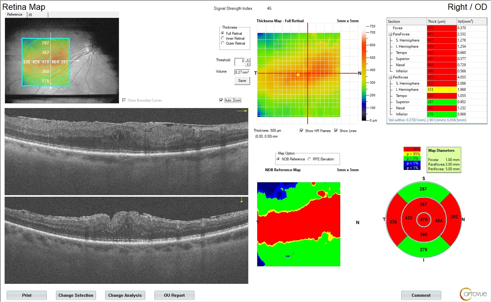
On examination, the affected eye showed notable changes in the lens and subtle structural alterations at the macula, while the fellow eye remained largely stable. OCT imaging highlighted significant changes in the affected eye and milder alterations in the other eye.
Would this patient benefit from an in-person consultation with a retina specialist, or can the case safely continue with periodic monitoring?




A retina specialist provided a virtual consult within 1-2 weeks through Care1. Scroll below to see their diagnosis.
This 70-year-old patient has reduced vision in the right eye with macular changes and a posterior capsule opacity. OCT shows significant structural alterations in the affected eye and milder changes in the fellow eye.
A YAG capsulotomy could be attempted to see if visual acuity improves. If vision does not improve, surgical intervention for the macular changes may be considered.
Has the patient been evaluated by a retina specialist for further consultation?
Continue with observation and follow-up as scheduled. I will continue to assist with management via review of the patient’s file and diagnostic testing.
Actual Review: Thank you for following this patient for ERM. It looks like there is PCO OD. Visual acuity is not is good on that side. My try getting a YAG OD to see if it improves VA OD. If not, the patient might benefit from ERM surgery OD. Has the patient seen a retina specialist for further consultation?
Posterior capsule opacification (PCO) is a common long-term complication of cataract surgery that occurs when residual lens epithelial cells on the posterior capsule proliferate, migrate, and differentiate abnormally, leading to opacification. The process is influenced by multiple cytokines and growth factors, including TGF-β, FGF-2, and hepatocyte growth factor, as well as extracellular matrix remodeling. PCO can present in two forms: fibrous, characterized by wrinkles and folds on the capsule, and pearl (proliferative), with clusters of swollen, opacified lens epithelial cells known as Wedl cells. Both forms can impair vision by reducing clarity through the posterior capsule.
✔ Deliver the highest standard of care
✔ Increase patient satisfaction and retain patients
✔ Stimulate revenue
Posterior capsular opacification is caused mainly by remnant lens epithelial cell proliferation and migration, epithelial‑mesenchymal transition, collagen deposition, and lens fiber generation.
Awasthi N, Guo S, Wagner BJ. Posterior capsular opacification: a problem reduced but not yet eradicated. Archives of Ophthalmology. 2009;127(4):555‑562.