Case Study
|
April 14, 2026

Case Study: Unilateral Macular PED With Edema

66-year-old with unilateral macular PED and reduced vision OS on a background of peripheral retinal changes. Explore evaluation and referral urgency.

Case Study: Unilateral Macular PED With Edema

An optometrist uploaded this case to Care1.

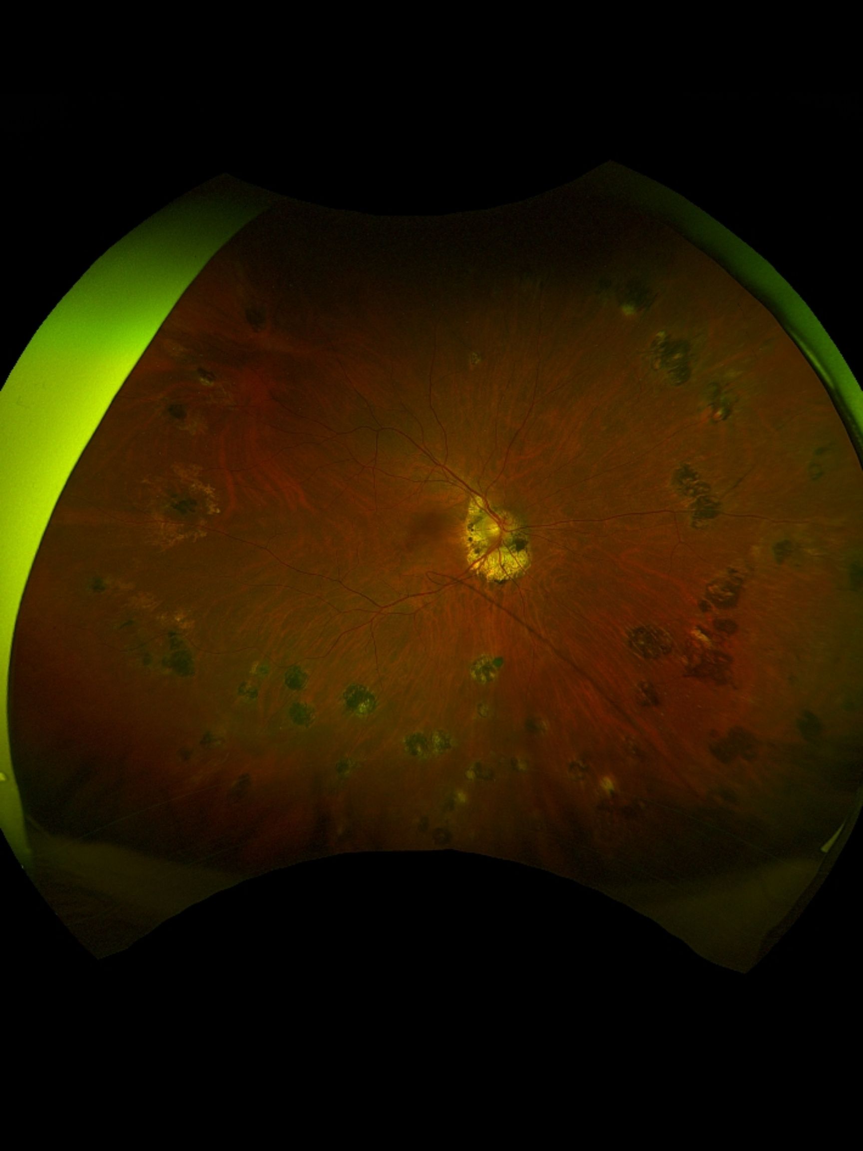
A 66-year-old patient was referred for evaluation of a left eye macular concern identified prior to travel. BCVA was 6/15+1 OD and 6/24-1 OS, with IOPs of 13 mmHg OU. Anterior segment exam showed bilateral nuclear sclerotic and posterior subcapsular cataracts. Posterior segment findings included a large PED OS and 360-degree peripheral RPE changes OU.

What is the most appropriate next step in managing this unilateral macular finding?

A retina specialist provided a virtual consult within 1-2 weeks through Care1. Scroll below to see their diagnosis.

Care1 Ophthalmologist's Teleconsult

The clinical picture raises concern for an inflammatory or infectious chorioretinal process with secondary neovascular complications. Differentiating between similar-appearing peripheral retinal conditions is important, particularly when macular involvement is present.

The presence of a pigment epithelial detachment with associated edema warrants urgent in-person retinal evaluation to assess for possible neovascular activity. Early identification and timely intervention are critical to preserving visual function. Coordinated care between optometry and retina specialists allows for appropriate triage and expedited management when high-risk features are identified.

Further in-person evaluation and management is recommended for this patient.

Care1 AI’s Clinical Insight

Peripheral chorioretinal syndromes can present with characteristic fundus findings and may be associated with secondary macular complications such as pigment epithelial detachments or neovascularization. Multimodal imaging, including OCT and angiography, plays a key role in distinguishing between inflammatory and infectious etiologies. Early detection of macular involvement is essential for preventing vision loss.

Collaborate with specialists and
harness AI insights through Care1

✔ Deliver the highest standard of care
✔ Increase patient satisfaction and retain patients
✔ Stimulate revenue

Did You Know?

Choroidal neovascularization can develop in up to 5% of patients with presumed ocular histoplasmosis syndrome, often years after initial peripheral findings appear.

Reference Gass JD. Pathogenesis of presumed ocular histoplasmosis syndrome. Am J Ophthalmol. 1960;49(1):1–18.

Clinical Pearls

  • Unilateral macular PED with edema needs urgent retinal evaluation
  • Peripheral chorioretinal changes may cause delayed macular complications
  • Early referral preserves vision in suspected neovascular disease

Read More